Understanding Cronkhite-Canada Syndrome
A Comprehensive Overview of Cronkhite-Canada Syndrome: Symptoms, Diagnosis, and Treatment Approaches
By Klaus Mönkemüller, MD, PhD, FASGE, FJGES
Cronkhite-Canada Syndrome (CCS) is a rare, non-inherited gastrointestinal condition of unknown etiology, often presenting as a diagnostic challenge with multiple symptoms, which may be vague and non-specific.
Case presentation:
A 48-year-old woman presented with chronic diarrhea and loss of taste. On the clinical exam she appeared pale, had brittle nails, and had partial hair loss. She was found to have severe iron deficiency anemia.
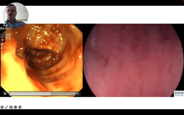
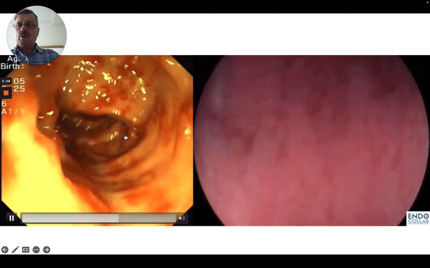
Colonoscopy showed multiple reddish, edematous mucosal streaks and polyps and pseudopolyps ranging from 5 to about 20 mm (Figure 1).
On EGD the stomach was characterized by enlarged mucosal folds, pseudoplyps (Figure 2) and duodenal mucosal atrophy (Figure 3)

Histology showed the below findings (see figure 4 A,B).

Main Point No. 1: Clinical Presentation
CCS often manifests in middle-aged adults with a distinctive set of symptoms.
Chronic diarrhea, loss of taste, and weight loss are common, coupled with iron deficiency anemia, likely due to malabsorption resulting from GI mucosal atrophy. This malabsorption may extend to physical changes such as alopecia, brittle nails, and dystrophic changes of the skin. For instance, the patient in our case displayed these symptoms, accentuating how CCS's unique symptomology can clue in a sharp diagnostician.
Main Point No. 2: Gastrointestinal Findings
CCS is characterized by distinct GI findings that aid in its identification. Pseudopolyps, red streaks, patchy atrophy, and unusual villi shapes, like those seen in our patient's colonoscopy and endoscopy, are typical. Additionally, patients often exhibit significant inflammation and lymphocytic infiltration in the lamina propria. Recognizing these GI markers is crucial for practitioners suspecting CCS.
Main Point No. 3: Risks and Prognosis
CCS is associated with significant health risks, mandating vigilant follow-up. Patients with CCS have a higher risk for developing gastric adenocarcinoma and other GI cancers. For instance, men are slightly more prone to CCS than women, with a ratio of 3:2, emphasizing the importance of regular monitoring and early intervention to manage these risks effectively.
Main Point No. 4: Treatment Approaches
Although there's no established treatment for CCS, some strategies have shown promising results.
Therapeutic approaches include systemic corticosteroids, antibiotics (particularly for eradicating Helicobacter pylori), and prolonged zinc supplementation. Some patients have experienced complete healing following these treatments, which underscores the potential for individualized management strategies.
Knowledge is power. The better we understand Cronkhite-Canada Syndrome, the more capable we are in recognizing, diagnosing, and managing this rare condition. Don't forget: every symptom counts in piecing together the diagnostic puzzle.
Cronkhite Canada Syndrome on EndoCollab

Join our community at endocollab.com and choose from our flexible membership plans:

